BREAKING: Iranians ‘don’t know’ who their leader is – Trump claims

Follow Us: Facebook Twitter Instagram YouTube
LATEST SCORES:
Loading live scores...
World News

Marburg virus disease outbreak kills 6 in Rwanda

Marburg virus disease outbreak kills 6 in Rwanda
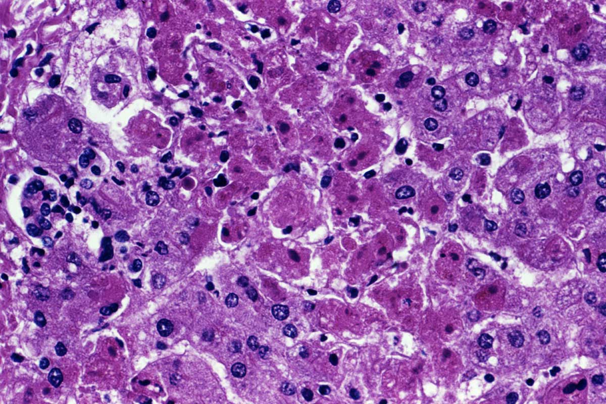
Marburg virus disease (MVD)

Quick Read

The health ministry clarified that MVD is transmitted through direct contact with the blood or body fluids of infected individuals and is not airborne.

Rwanda has confirmed six deaths from Marburg virus disease (MVD) amid an outbreak that has affected 26 people nationwide.

Speaking Saturday evening during a broadcast on Rwanda Television, Rwanda’s Minister of Health Sabin Nsanzimana revealed that the victims and most of the infected are healthcare workers.

“Six people have died of MVD, and the majority of those are medical workers,” Nsanzimana said.

He emphasised that the Ministry of Health, in collaboration with relevant partners, is working tirelessly to contain the deadly virus through contact tracing and isolating the infected.

“We urge Rwandans to remain vigilant and enhance preventive measures by ensuring hygiene, washing with soap, sanitising hands, and avoiding contact with infected individuals,” Nsanzimana added.

On Friday, the Ministry of Health called for heightened preventive measures following the confirmed cases of Marburg virus disease.

In a statement, the ministry outlined ongoing efforts to curb the spread of the virus, which has led to the hospitalisation of several patients.

Authorities have implemented enhanced preventive protocols in all health facilities, including rigorous contact tracing, and the infected patients have been isolated for treatment.

The health ministry clarified that MVD is transmitted through direct contact with the blood or body fluids of infected individuals and is not airborne.

The ministry advised anyone experiencing symptoms such as high fever, severe headaches, vomiting, muscle pain, or stomach aches to contact the Rwanda Biomedical Center or visit their nearest health facility.

While monitoring the situation closely, authorities urged the public to remain calm and maintain regular activities.

(Xinhua/NAN)

Comments